الذكاء الاصطناعي يتفوق على البشر في اكتشاف سرطان الثدي

تفوق الذكاء الاصطناعي في الكشف المبكر عن سرطان الثدي

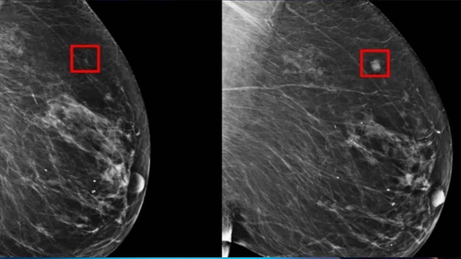
أظهرت دراسة حديثة أن الذكاء الاصطناعي يتفوق على الأطباء في اكتشاف حالات سرطان الثدي خلال عمليات التصوير بالأشعة. الدراسة، التي نُشرت في مجلة “The Lancet Oncology”، بينت أن الذكاء الاصطناعي تمكن من اكتشاف السرطان بنسبة 20% أكثر مقارنة بأخصائيي الأشعة.

تفاصيل الدراسة والنتائج

حللت الدراسة فحوصات 80 ألف امرأة سويدية معرضة لخطر وراثي معتدل للإصابة بسرطان الثدي، حيث خضعت لتصوير الثدي بالأشعة السينية بين أبريل 2021 ويوليو 2022. قُسمت الفحوصات إلى مجموعتين: المجموعة الأولى تم تحليلها باستخدام الذكاء الاصطناعي وأخصائيي الأشعة لمضاعفة النتائج، بينما قُرأت المجموعة الثانية بواسطة أخصائيي الأشعة فقط. أظهرت النتائج أن الذكاء الاصطناعي اكتشف السرطان في 6 من كل 1000 عملية مسح، بينما اكتشف أطباء الأشعة السرطان في 5 من كل 1000 عملية مسح.

دور أطباء الأشعة في عصر الذكاء الاصطناعي

رغم تفوق الذكاء الاصطناعي في تحديد السرطان، أكدت الدكتورة لورا هيكوك، أخصائية أشعة الثدي في جامعة نيويورك، أن دور أطباء الأشعة لا يزال حيويًا. وأشارت إلى أن الذكاء الاصطناعي هو أداة مساعدة، وليست بديلاً عن الخبرة البشرية. “تعمل هذه الأدوات بشكل أفضل عندما يتم إقرانها مع أخصائيي الأشعة المدربين تدريباً عالياً الذين يتخذون القرار النهائي.”

الابتكارات والتحديات في الذكاء الاصطناعي

طور الباحثون في معهد ماساتشوستس للتكنولوجيا برنامجًا يسمى “MIRAI”، الذي يستخدم خوارزميات لتحليل أنماط التصوير بالأشعة السينية للتنبؤ بخطر الإصابة بسرطان الثدي بمرور الوقت. أظهر البرنامج دقة متقدمة في التنبؤ بخطر الإصابة على مدى ثلاث سنوات، وتمكن من اكتشاف سرطان الثدي قبل تشخيصه بخمس سنوات.

ومع ذلك، تواجه أدوات الذكاء الاصطناعي تحديات تتعلق بالدقة عبر فئات مختلفة من المرضى، بما في ذلك الأعمار والأجناس وملامح كثافة الثدي. تعرضت أدوات الذكاء الاصطناعي لبعض الانتقادات لكونها تكتشف السرطان بشكل خاطئ أكثر لدى المرضى السود مقارنة بالبيض، مما يعكس الحاجة إلى تحسين التقنية لضمان عدالة وكفاءة أكبر.

آفاق المستقبل

مع تطور تقنية الذكاء الاصطناعي، يمكن لأطباء الأشعة إجراء مسح دقيق لمجموعة أكثر تنوعًا من المرضى. قد يساهم هذا التحسن في إنقاذ المزيد من الأرواح ويعزز من فعالية الكشف المبكر عن السرطان.

شارك هذا الخبر
إبراهيم شعبان
إبراهيم شعبان

صحفي متخصص في التكنولوجيا

المقالات: 1329

اترك ردّاً

لن يتم نشر عنوان بريدك الإلكتروني. الحقول الإلزامية مشار إليها بـ *